Ultime Notizie
Istruzione UniversitĂ
In TekirdaÄź, the future of agricultural mechanization: looking ahead to TRAKAGENG2026
Istruzione UniversitĂ
Congresso TRAKAGENG2026 a Tekirdağ — aperte le call per ricercatori e studenti
Istruzione UniversitĂ
La Cina contemporanea — dalle trasformazioni interne al nuovo ruolo globale
Istruzione UniversitĂ
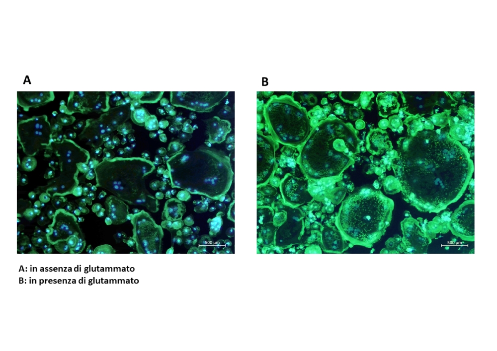
Mieloma multiplo: il glutammato nel mirino per fermare la distruzione ossea
Istruzione UniversitĂ
video - Bergamo, 15 milioni per nuove residenze e aule per studenti universitari a Bergamo
Istruzione UniversitĂ
Master: Giornalismo d’inchiesta – aperte le iscrizioni al master con soli 20 posti
Un master per chi cerca i fatti: riparte la formazione in giornalismo d’inchiesta
Istruzione UniversitĂ
Opportunities for Students: DOE Opens Applications for the SCGSR Program
Istruzione UniversitĂ
OpportunitĂ per studenti: il DOE apre le candidature per il programma SCGSR
Istruzione UniversitĂ
Laboratori e Innovazione in Lombardia: UniversitĂ e IRCCS in Prima Linea
Istruzione UniversitĂ
SanitĂ e Giovani Medici: Scegliere la Specializzazione nell'Emergenza Urgenza, una Sfida di Passione
Istruzione UniversitĂ
Students and Faculty at Work: A Unique Opportunity to Grow and Innovate in U.S. National Laboratories
Istruzione UniversitĂ
Studenti e Docenti Al Lavoro: Un’Occasione Unica per Crescere e Innovare nei Laboratori Nazionali degli Stati Uniti
Studenti e Docenti Partecipano a Programmi di Ricerca nei Laboratori Nazionali del DOE: Un Passo Avanti nella Formazione della Prossima Generazione di Scienziati